Night sweats can be unsettling, especially when they occur suddenly during an illness. While most people associate human metapneumovirus (HMPV) with coughing, nasal congestion, or breathing difficulties, excessive sweating at night can also appear during infection. Understanding how HMPV affects the body and why symptoms like night sweats may develop is important for both prevention…
Body aches as part of HMPV symptoms
Human metapneumovirus (HMPV) is a common respiratory infection that often goes unnoticed compared to other viruses like influenza, RSV (respiratory syncytial virus), or COVID-19. While HMPV is primarily associated with coughing, nasal congestion, and breathing difficulties, many patients also experience body aches as part of the infection. These aches can range from mild discomfort to…
Can HMPV cause stomach upset?
Human metapneumovirus (HMPV) is a respiratory virus that has been increasingly recognized in both children and adults. While it is most commonly associated with symptoms like cough, congestion, fever, and breathing difficulties, many people wonder if HMPV can also cause stomach upset. This question is especially relevant for parents caring for sick children or adults…
How Dehydration May Follow HMPV Infection
Human metapneumovirus (HMPV) is a respiratory virus that affects both children and adults. While it is best known for causing cold-like symptoms, bronchitis, or pneumonia, one complication that often goes unnoticed is dehydration. Many people focus on the respiratory aspects of HMPV, but the way the infection affects appetite, fluid balance, and overall body function…
The Role of Mucus Production in HMPV
When we catch a cold or flu, one of the first discomforts we notice is mucus. It clogs our nose, makes it harder to breathe, and leaves us reaching for tissues. In the case of HMPV (human metapneumovirus), mucus production plays an especially important role. This respiratory infection, which affects both children and adults, often…
How to Ease Breathing Difficulties Caused by HMPV
Human metapneumovirus (HMPV) is a respiratory infection that affects both children and adults. While not as widely recognized as the flu or respiratory syncytial virus (RSV), HMPV can cause significant health problems, especially for individuals with weakened immune systems, young children, and older adults. Among the most concerning issues linked to HMPV is breathing difficulty,…
The link between HMPV and asthma flare-ups
Asthma is one of the most common chronic respiratory conditions worldwide, affecting both children and adults. For people living with asthma, flare-ups or exacerbations can be triggered by many factors—ranging from allergens to respiratory infections. One infection that has gained attention in recent years is human metapneumovirus (HMPV), a virus that causes respiratory illnesses similar…
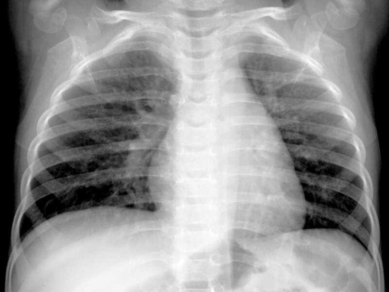
Can HMPV lead to pneumonia?
Respiratory infections are among the most common illnesses affecting both children and adults, and while many are mild, some can escalate into serious conditions. One virus that has gained increasing attention in recent years is human metapneumovirus (HMPV). Although it may sound unfamiliar compared to well-known viruses like influenza or RSV, HMPV is a significant…
HMPV and Bronchitis: Understanding the Connection
Bronchitis is a common respiratory condition that many people experience at least once in their lives. It is characterized by inflammation of the bronchial tubes, which carry air to and from the lungs. While bronchitis can be caused by various viruses, bacteria, or irritants, one lesser-known viral trigger is human metapneumovirus (HMPV). Although influenza and…
Why nasal congestion is common in HMPV infections
Nasal congestion, often described as a blocked or stuffy nose, is one of the most frequent complaints when people develop respiratory infections. Among these infections is HMPV—human metapneumovirus—a virus discovered in 2001 that has since become recognized as a widespread cause of cold-like illnesses, particularly in children but also in adults. While HMPV remains less…

